Ein perfektes Lächeln trägt maßgeblich zu mehr Attraktivität und einer positiven Ausstrahlung bei. Gerne unterstützen wir Sie dabei, diesem Ziel einen großen Schritt näher zu kommen. In unserer Praxis nutzen wir folgende innovative, individuell auf Sie abstimmbare Methoden:
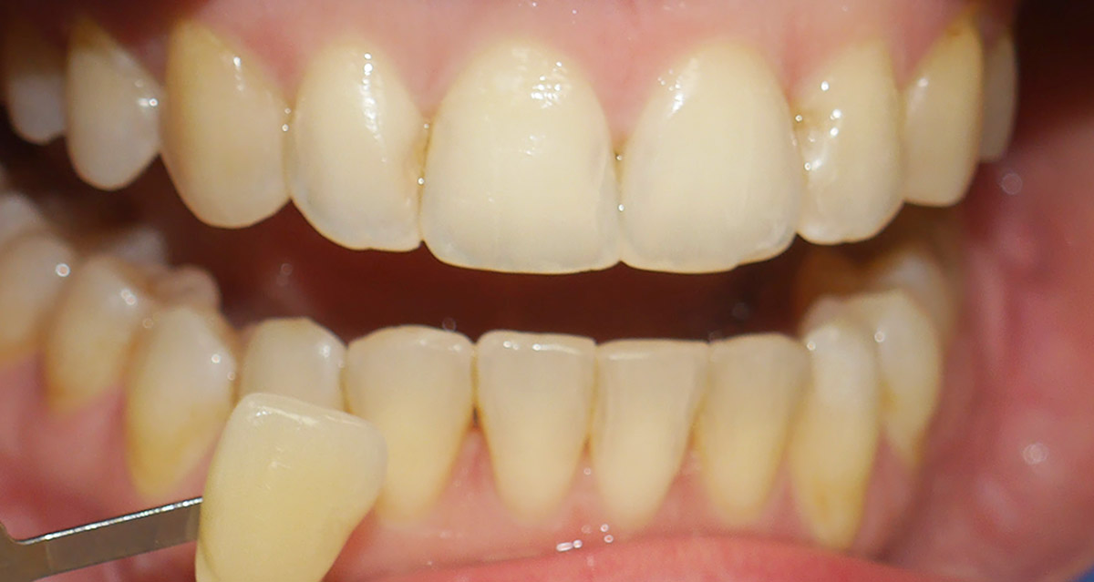
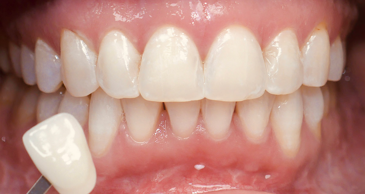
Veneers:
An abgebrochenen oder verfärbten Frontzähnen setzen wir Keramikverblendschalen ein, um möglichst viel Zahnsubstanz zu erhalten. Mit diesen können wir auch kleinere Lücken schließen und verkürzte Zähne korrigieren.
Vollkeramik-Kronen:
Die notwendige Vollkeramikkrone wird – insbesondere für den Front- oder sichtbaren Seiten-Zahnbereich – mittels Cerec-Verfahren im zahntechnischen Labor individuell für Sie angefertigt.
Bleaching:
Die Zahnaufhellung erfolgt mit Hilfe eines sanften Gel-Präparates, das auf die Zahnreihen aufgetragen und durch eine spezielle LED-Lampe aktiviert wird. Durch das Verfahren wird der Wirkstoff im Gel abgebaut und Sauerstoff gelangt in Zahnschmelz und Dentin. Das hat zur Folge, dass die dort vorhandenen verfärbten Substanzen aufgehellt werden. Die Zahnstruktur verändert sich dadurch nicht. (nähere Informationen finden sie auf der Homepage: www.philips.de/c-m-pe/zahnaufhellung)

